核仁磷酸蛋白(NPM1)多克隆抗体
Polyclonal Antibody to Nucleophosmin 1 (NPM1)
B23; NPM; Nucleolar Phosphoprotein B23; Numatrin; Nucleophosmin/Nucleoplasmin Family,Member 1; Nucleolar protein NO38
- 编号PAC664Mu01
- 物种Mus musculus (Mouse,小鼠)相同的名称,不同的物种。
- 来源多抗制备
- 宿主兔
- 效价-
- Ig类型IgG
- 纯化方式抗原特异性亲和纯化
- 标记物无标记物
- 免疫原RPC664Mu01-核仁磷酸蛋白(NPM1)重组蛋白
- 缓冲液成份磷酸盐缓冲液(pH7.4, 含有 0.01% SKL, 1mM DTT, 5% Trehalose和Proclin300.)
- 性状液体
- 浓度500µg/mL
- 且适物种Homo sapiens (Human,人), Rattus norvegicus (Rat,大鼠)
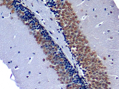
- 应用WB; IHC; ICC; IP.
如果抗体需用于流式细胞术,请参见流式抗体。 - 下载英文说明书 中文说明书
- 规格20µl100µl200µl1ml10ml
- 价格¥ 648¥ 1512¥ 2160¥ 5400¥ 21600
- 欲了解实际交易价格和更多情况,请与当地经销商联系!
特异性
该抗体是针对NPM1的兔多克隆抗体。在免疫组织化学染色和免疫印迹实验中能识别NPM1。
用法
免疫印迹:0.2-2µg/mL;1:250-2500
免疫组织化学:5-20µg/mL;1:25-100
免疫细胞化学:5-20µg/mL;1:25-100
最佳稀释倍数最终由用户决定。
储存
经常使用则4°C保存。-20°C保存不超过两年。避免反复冻融。
稳定性
热稳定性以损失率显示。损失率是由加速降解试验决定,具体方法如下:在37°C孵育48小时,没有显著的降解或者沉淀产生。保质期内,在适当的条件下存储,损失率低于5%。
赠品
增值服务
相关产品
| 编号 | 适用物种:Mus musculus (Mouse,小鼠) | 应用(仅供研究使用,不用于临床诊断!) |
| RPC664Mu01 | 核仁磷酸蛋白(NPM1)重组蛋白 | Positive Control; Immunogen; SDS-PAGE; WB. |
| RPC664Mu02 | 核仁磷酸蛋白(NPM1)重组蛋白 | Positive Control; Immunogen; SDS-PAGE; WB. |
| PAC664Mu02 | 核仁磷酸蛋白(NPM1)多克隆抗体 | WB,IHC,ICC/IF |
| PAC664Mu01 | 核仁磷酸蛋白(NPM1)多克隆抗体 | WB; IHC; ICC; IP. |
| LAC664Mu71 | 核仁磷酸蛋白(NPM1)多克隆抗体(生物素标记) | WB |
| SEC664Mu | 核仁磷酸蛋白(NPM1)检测试剂盒(酶联免疫吸附试验法) | Enzyme-linked immunosorbent assay for Antigen Detection. |









