半胱氨酸丰富血管生成诱导因子61(CYR61)多克隆抗体
Polyclonal Antibody to Cysteine Rich Protein, Angiogenic Inducer 61 (CYR61)
CCN1; GIG1; IGFBP10; CCN family member 1; Insulin-like growth factor-binding protein 10
- 编号PAG313Hu01
- 物种Homo sapiens (Human,人)相同的名称,不同的物种。
- 来源多抗制备
- 宿主兔
- 效价-
- Ig类型IgG
- 纯化方式抗原特异性亲和纯化
- 标记物无标记物
- 免疫原RPG313Hu01-半胱氨酸丰富血管生成诱导因子61(CYR61)重组蛋白
- 缓冲液成份0.01M 磷酸盐缓冲液(pH7.4,containing 0.05% Proclin-300,50% glycerol)
- 性状液体
- 浓度0.5mg/mL
- 且适物种-
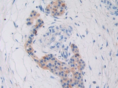
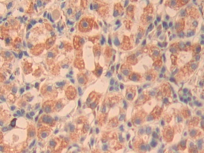
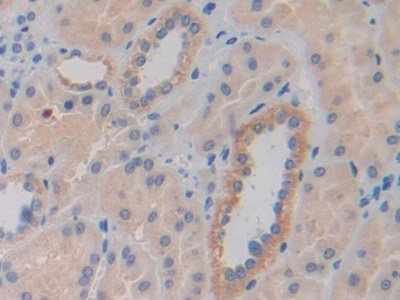
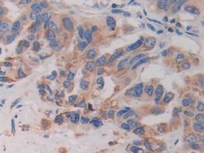
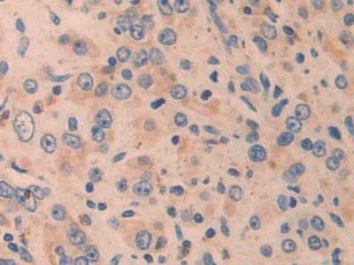
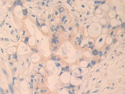
- 应用IHC
如果抗体需用于流式细胞术,请参见流式抗体。 - 下载英文说明书 中文说明书
- 规格20µl100µl200µl1ml10ml
- 价格¥ 630¥ 1470¥ 2100¥ 5250¥ 21000
- 欲了解实际交易价格和更多情况,请与当地经销商联系!
特异性
该抗体是针对CYR61的兔多克隆抗体。在免疫组织化学染色和免疫印迹实验中能识别CYR61。
用法
Immunohistochemistry: 5-20µg/mL;
Optimal working dilutions must be determined by end user.
储存
经常使用则4°C保存。-20°C保存不超过两年。避免反复冻融。
稳定性
热稳定性以损失率显示。损失率是由加速降解试验决定,具体方法如下:在37°C孵育48小时,没有显著的降解或者沉淀产生。保质期内,在适当的条件下存储,损失率低于5%。
赠品
增值服务
相关产品
| 编号 | 适用物种:Homo sapiens (Human,人) | 应用(仅供研究使用,不用于临床诊断!) |
| APG313Hu01 | 半胱氨酸丰富血管生成诱导因子61(CYR61)活性蛋白 | Cell culture; Activity Assays. |
| RPG313Hu01 | 半胱氨酸丰富血管生成诱导因子61(CYR61)重组蛋白 | Positive Control; Immunogen; SDS-PAGE; WB. |
| PAG313Hu01 | 半胱氨酸丰富血管生成诱导因子61(CYR61)多克隆抗体 | IHC |
| MAG313Hu22 | 半胱氨酸丰富血管生成诱导因子61(CYR61)单克隆抗体 | WB |
| MAG313Hu23 | 半胱氨酸丰富血管生成诱导因子61(CYR61)单克隆抗体 | WB |
| MAG313Hu24 | 半胱氨酸丰富血管生成诱导因子61(CYR61)单克隆抗体 | WB |
| MAG313Hu25 | 半胱氨酸丰富血管生成诱导因子61(CYR61)单克隆抗体 | WB |
| MAG313Hu21 | 半胱氨酸丰富血管生成诱导因子61(CYR61)单克隆抗体 | WB |
| MAG313Hu26 | 半胱氨酸丰富血管生成诱导因子61(CYR61)单克隆抗体 | WB |
| SEG313Hu | 半胱氨酸丰富血管生成诱导因子61(CYR61)检测试剂盒(酶联免疫吸附试验法) | Enzyme-linked immunosorbent assay for Antigen Detection. |
| LMG313Hu | 半胱氨酸丰富血管生成诱导因子61(CYR61)等多因子检测试剂盒(流式荧光发光法) | FLIA Kit for Antigen Detection. |
参考文献
| 杂志 | 参考文献 |
| Physiol Genomics. | Identification of human exercise-induced myokines using secretome analysis[Pubmed:24520153] |
| Scientific Reports | Advanced glycation end products promote VEGF expression and thus choroidal neovascularization via Cyr61-PI3K/AKT signaling pathway[pubmed:29097668] |









