载脂蛋白A1(APOA1)多克隆抗体
Polyclonal Antibody to Apolipoprotein A1 (APOA1)
Apo-A1; ApoA-1 Milano; ProapoA-I; Proapolipoprotein A-I; Truncated apolipoprotein A-I
- 编号PAA519Hu01
- 物种Homo sapiens (Human,人)相同的名称,不同的物种。
- 来源多抗制备
- 宿主兔
- 效价-
- Ig类型IgG
- 纯化方式抗原特异性亲和纯化
- 标记物无标记物
- 免疫原RPA519Hu01-载脂蛋白A1(APOA1)重组蛋白
- 缓冲液成份磷酸盐缓冲液(pH7.4,含有0.02% NaN3和50%甘油)
- 性状液体
- 浓度0.5mg/mL
- 且适物种Mus musculus (Mouse,小鼠)
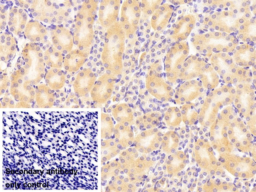
- 应用WB,IHC
如果抗体需用于流式细胞术,请参见流式抗体。 - 下载英文说明书 中文说明书
- 规格20µl100µl200µl1ml10ml
- 价格¥ 504¥ 1176¥ 1680¥ 4200¥ 16800
- 欲了解实际交易价格和更多情况,请与当地经销商联系!
特异性
该抗体是针对APOA1的兔多克隆抗体。在免疫组织化学染色和免疫印迹实验中能识别APOA1。
用法
Western blotting: 0.01-2µg/mL;
Immunohistochemistry: 5-20µg/mL;
Immunocytochemistry: 5-20µg/mL;
Optimal working dilutions must be determined by end user.
储存
经常使用则4°C保存。-20°C保存不超过两年。避免反复冻融。
稳定性
热稳定性以损失率显示。损失率是由加速降解试验决定,具体方法如下:在37°C孵育48小时,没有显著的降解或者沉淀产生。保质期内,在适当的条件下存储,损失率低于5%。
赠品
增值服务
相关产品
| 编号 | 适用物种:Homo sapiens (Human,人) | 应用(仅供研究使用,不用于临床诊断!) |
| APA519Hu01 | 载脂蛋白A1(APOA1)活性蛋白 | Cell culture; Activity Assays. |
| APA519Hu61 | 载脂蛋白A1(APOA1)活性蛋白 | Cell culture; Activity Assays. |
| RPA519Hu01 | 载脂蛋白A1(APOA1)重组蛋白 | Positive Control; Immunogen; SDS-PAGE; WB. |
| EPA519Hu61 | 载脂蛋白A1(APOA1)真核蛋白 | Positive Control; Immunogen; SDS-PAGE; WB. |
| PAA519Hu06 | 载脂蛋白A1(APOA1)多克隆抗体 | WB |
| PAA519Hu01 | 载脂蛋白A1(APOA1)多克隆抗体 | WB,IHC |
| LAA519Hu71 | 载脂蛋白A1(APOA1)多克隆抗体(生物素标记) | WB; IHC; ICC. |
| MAA519Hu21 | 载脂蛋白A1(APOA1)单克隆抗体 | WB; IHC |
| RAA519Hu91 | 载脂蛋白A1(APOA1)重组抗体 | WB; IF; ICC; IHC; IP; FCM. |
| MAA519Hu24 | 载脂蛋白A1(APOA1)单克隆抗体 | WB; IHC |
| MAA519Hu26 | 载脂蛋白A1(APOA1)单克隆抗体 | WB |
| MAA519Hu23 | 载脂蛋白A1(APOA1)单克隆抗体 | WB; IHC; ICC/IF |
| MAA519Hu25 | 载脂蛋白A1(APOA1)单克隆抗体 | WB |
| MAA519Hu29 | 载脂蛋白A1(APOA1)单克隆抗体 | ICC/IF |
| RAA519Hu21 | 载脂蛋白A1(APOA1)重组抗体 | WB; IHC |
| RAA519Hu27 | 载脂蛋白A1(APOA1)重组抗体 | WB; IF; ICC; IHC; IP; FCM. |
| MAA519Hu22 | 载脂蛋白A1(APOA1)单克隆抗体 | WB; IHC |
| FAA519Hu02 | 抗载脂蛋白A1(APOA1)单克隆抗体 | FCM |
| LAA519Hu76 | 载脂蛋白A1(APOA1)单克隆抗体(生物素标记) | WB; IHC; ICC. |
| SEA519Hu | 载脂蛋白A1(APOA1)检测试剂盒(酶联免疫吸附试验法) | Enzyme-linked immunosorbent assay for Antigen Detection. |
| AEA519Hu | 抗载脂蛋白A1抗体(Anti-APOA1)检测试剂盒(酶联免疫吸附试验法) | Enzyme-linked immunosorbent assay for Antibody Detection. |
| SCA519Hu | 载脂蛋白A1(APOA1)检测试剂盒(化学发光免疫分析法) | Chemiluminescent immunoassay for Antigen Detection. |
| LMA519Hu | 载脂蛋白A1(APOA1)等多因子检测试剂盒(流式荧光发光法) | FLIA Kit for Antigen Detection. |
| PSA519Hu01 | 载脂蛋白A1(APOA1)抗体对 | ELISA; CLIA; ELISPOT; Luminex; Immunochromatography and other Immunoassays. |
| KSA519Hu01 | 载脂蛋白A1(APOA1)检测试剂盒DIY材料(酶联免疫吸附试验法) | Main materials for "Do It (ELISA Kit) Yourself". |
参考文献
| 杂志 | 参考文献 |
| European Journal of Applied Physiology | Endurance training enhances ABCA1 expression in rat small intestine[PubMed: 19629515] |
| Official Journal of the INWR | Effect of eight weeks of wrestling and circuit fitness training on Apo lipoportein A-I and lymphocyte ABCA1 gene expression in well-trained wrestler. [Wrestling: source] |
| Biochemical and Biophysical Research Communications | Treadmill exercise enhances ABCA1 expression in rat liver[ScienceDirect: S0006291X0701488X] |
| World Journal of Sport Sciences | The Effect of Eight Weeks of Wrestling and Wrestling Technique Based Circuit Training on Lymphocyte ABCA1 Gene Expression and Plasma Apolipoprotein A-1[Idosi: source] |
| Biochimica et Biophysica Acta | Hepatic lipase- and endothelial lipase-deficiency in mice promotes macrophage-to-feces RCT and HDL antioxidant properties[PubMed: 23328279 ] |
| Biomarkers | The association of a distinct plasma proteomic profile with the cervical high-grade squamous intraepithelial lesion of Uyghur women: a 2D liquid-phase chromatography/mass spectrometry study[PubMed: 22458349] |
| Journal of the American Heart Association | MicroRNA-33 Deficiency Reduces the Progression of Atherosclerotic Plaque in ApoE?/? Mice[PubMed: PMC3540673] |
| PLoS ONE | Apolipoprotein AI Is a Potential Mediator of Remote Ischemic Preconditioning[Plosone: Source] |
| Molecular Genetics and Metabolism | DYRK1A overexpression decreases plasma lecithin: cholesterol acyltransferase activity and apolipoprotein AI levels[Pubmed: 23920041] |
| Endocrinology | Deficiency of Clusterin Exacerbates High-Fat Diet-Induced Insulin Resistance in Male Mice [Pubmed: 24684302] |
| Molecular Genetics and Metabolism Reports | Corrective effects of hepatotoxicity by hepatic Dyrk1a gene delivery in mice with intermediate hyperhomocysteinemia[Sciencedirect:S2214426915000026] |
| J Psychopharmacol | Anti-atherogenic properties of high-density lipoproteins in psychiatric patients before and after two months of atypical anti-psychotic therapy[PubMed: 26253619] |
| Biochim Biophys Acta | Culturing of HepG2 cells with human serum improve their functionality and suitability in studies of lipid metabolism[PubMed: 26515253] |
| Pharmacol Res Perspect | Efficacy of tomato concentrates in mouse models of dyslipidemia and cancer[PubMed: 26171234] |
| Clin Exp Nephrol | Differentially expressed urinary biomarkers in children with idiopathic nephrotic syndrome[PubMed: 26351173] |
| Oncogene | Apolipoprotein A-I inhibits experimental colitis and colitis-propelled carcinogenesis[PubMed: 26279300] |
| Oncogene | Apolipoprotein AI inhibits experimental colitis and colitis-propelled carcinogenesis[Pubmed:26279300] |
| Allergy | Serum levels of 9α,11β-PGF2 and apolipoprotein A1 achieve high predictive power as biomarkers of anaphylaxis.[pubmed:28378321] |
| Journal of Chromatography A | Application of a new procedure for liquid chromatography/mass spectrometry profiling of plasma amino acid-related metabolites and untargeted shotgun proteomics to identify mechanisms and biomarkers of calcific aortic stenosis[S0021967317311858] |
| 11 | High-Density Lipoproteins Exert Pro-inflammatory Effects on Macrophages via Passive Cholesterol Depletion and PKC-NF-kB/STAT1-IRF1 Signaling[pubmed:27866837] |
| Biomedical Science Letters | Effect of Ginkgo biloba Extract (EGb 761) on Serum Cholesterol Levels in Wild-type C57Bl/6 Mice[10.15616/BSL.2017.23.2.80] |
| ACS Biomaterials Science & Engineering | Enhanced Antiatherosclerotic Efficacy of Statin-Loaded Reconstituted High-Density Lipoprotein via Ganglioside GM1 Modification[abs:10.1021] |
| Food Research International | Wild Lonicera caerulea berry polyphenol extract reduces cholesterol accumulation and enhances antioxidant capacity in vitro and in vivo[Pubmed:29580541] |
| Journal of The Science of Food and Agriculture | Consumption of orange fermented beverage improves antioxidant status and reduces peroxidation lipid and inflammatory markers in healthy humans[Pubmed:29124773] |
| Toxicon | A membrane disrupting toxin from wasp venom underlies the molecular mechanism of tissue damage[Pubmed:29654869] |
| European Journal of Pharmacology | The effect of exenatide (a GLP-1 analog) and sitagliptin (a DPP-4 inhibitor) on plasma platelet-activating factor acetylhydrolase (PAF-AH) activity and concentration in?…[Pubmed: 30768981] |
| European Journal of Preventive Cardiology | High-intensity interval training has a greater effect on reverse cholesterol transport elements compared with moderate-intensity continuous training in obese male rats[Pubmed: 31718266] |
| Diagnostics | Systemic Alterations of Immune Response-Related Proteins during Glaucoma Development in the Murine Model DBA/2J[Pubmed: 32585848] |
| VETERINARY PATHOLOGY | Pathology and Proteomics-Based Diagnosis of Localized Light-Chain Amyloidosis in Dogs and Cats[Pubmed: 32880234] |
| Nat Commun | GP73 is a TBC-domain Rab GTPase-activating protein contributing to the pathogenesis of non-alcoholic fatty liver disease without obesity[34853313] |
| Cardiovasc Toxicol | Interplay of Obesity, Ethanol, and Contaminant Mixture on Clinical Profiles of Cardiovascular and Metabolic Diseases: Evidence from an Animal Study[Pubmed:35429258] |
| Peptides | Neuropeptide Y promotes hepatic apolipoprotein A1 synthesis and secretion through neuropeptide Y Y5 receptor[Pubmed:35660638] |
| Journal of Functional Foods | Castanea mollissima shell polyphenols regulate JAK2 and PPARγ expression to suppress inflammation and lipid accumulation by inhibiting M1 macrophages …[] |






