巨噬细胞清道夫受体1(MSR1)多克隆抗体
Polyclonal Antibody to Macrophage Scavenger Receptor 1 (MSR1)
CD204; MSR1; SCARA1; SR-A; PhSR1; PhSR2; Macrophage acetylated LDL receptor I and II; Scavenger receptor class A member 1
- 编号PAB591Hu01
- 物种Homo sapiens (Human,人)相同的名称,不同的物种。
- 来源多抗制备
- 宿主兔
- 效价-
- Ig类型IgG
- 纯化方式抗原特异性亲和纯化
- 标记物无标记物
- 免疫原RPB591Hu01-巨噬细胞清道夫受体1(MSR1)重组蛋白
- 缓冲液成份磷酸盐缓冲液(pH7.4,含有0.02% NaN3和50%甘油)
- 性状液体
- 浓度0.5mg/mL
- 且适物种Mus musculus (Mouse,小鼠), Rattus norvegicus (Rat,大鼠), Sus scrofa; Porcine (Pig,猪)
- 应用WB; IHC
如果抗体需用于流式细胞术,请参见流式抗体。 - 下载英文说明书 中文说明书
- 规格20µl100µl200µl1ml10ml
- 价格¥ 598¥ 1394¥ 1992¥ 4980¥ 19920
- 欲了解实际交易价格和更多情况,请与当地经销商联系!
特异性
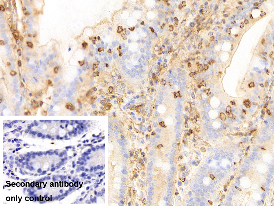
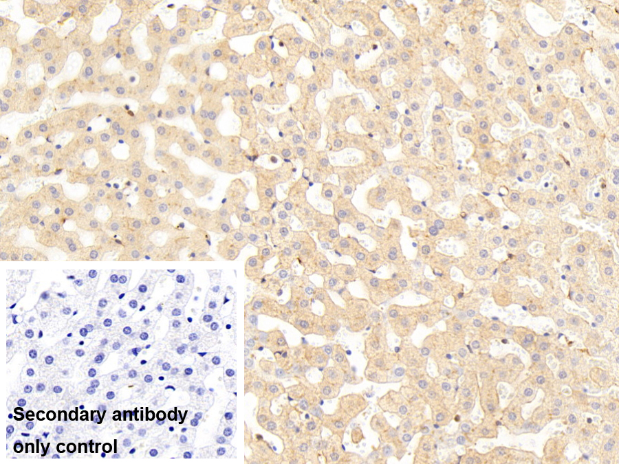
该抗体是针对MSR1的兔多克隆抗体。在免疫组织化学染色和免疫印迹实验中能识别MSR1。
用法
Western blotting: 0.01-2µg/mL;
Immunohistochemistry: 5-20µg/mL;
Optimal working dilutions must be determined by end user.
储存
经常使用则4°C保存。-20°C保存不超过两年。避免反复冻融。
稳定性
热稳定性以损失率显示。损失率是由加速降解试验决定,具体方法如下:在37°C孵育48小时,没有显著的降解或者沉淀产生。保质期内,在适当的条件下存储,损失率低于5%。
赠品
增值服务
相关产品
| 编号 | 适用物种:Homo sapiens (Human,人) | 应用(仅供研究使用,不用于临床诊断!) |
| RPB591Hu01 | 巨噬细胞清道夫受体1(MSR1)重组蛋白 | Positive Control; Immunogen; SDS-PAGE; WB. |
| PAB591Hu01 | 巨噬细胞清道夫受体1(MSR1)多克隆抗体 | WB; IHC |
| MAB591Hu22 | 巨噬细胞清道夫受体1(MSR1)单克隆抗体 | WB; IHC; ICC; IP. |
| SEB591Hu | 巨噬细胞清道夫受体1(MSR1)检测试剂盒(酶联免疫吸附试验法) | Enzyme-linked immunosorbent assay for Antigen Detection. |
| SCB591Hu | 巨噬细胞清道夫受体1(MSR1)检测试剂盒(化学发光免疫分析法) | Chemiluminescent immunoassay for Antigen Detection. |
| LMB591Hu | 巨噬细胞清道夫受体1(MSR1)等多因子检测试剂盒(流式荧光发光法) | FLIA Kit for Antigen Detection. |
参考文献
| 杂志 | 参考文献 |
| Hepatology | Scavenger receptor A restrains T-cell activation and protects against concanavalin A-induced hepatic injury[PubMed: 22821642] |
| Nature Communications | Scavenger receptor-A is a biomarker and effector of rheumatoid arthritis: A large-scale multicenter study[Pubmed: 32312978] |







