血小板因子4(PF4)多克隆抗体
Polyclonal Antibody to Platelet Factor 4 (PF4)
CXCL4; SCYB4; Chemokine C-X-C-Motif Ligand 4; Oncostatin-A; Iroplact
- 编号PAA172Mu02
- 物种Mus musculus (Mouse,小鼠)相同的名称,不同的物种。
- 来源多抗制备
- 宿主兔
- 效价-
- Ig类型IgG
- 纯化方式抗原特异性亲和纯化
- 标记物无标记物
- 免疫原RPA172Mu02-血小板因子4(PF4)重组蛋白
- 缓冲液成份0.01M 磷酸盐缓冲液(pH7.4,containing 0.05% Proclin-300,50% glycerol)
- 性状液体
- 浓度500µg/mL
- 且适物种Homo sapiens (Human,人), Rattus norvegicus (Rat,大鼠)
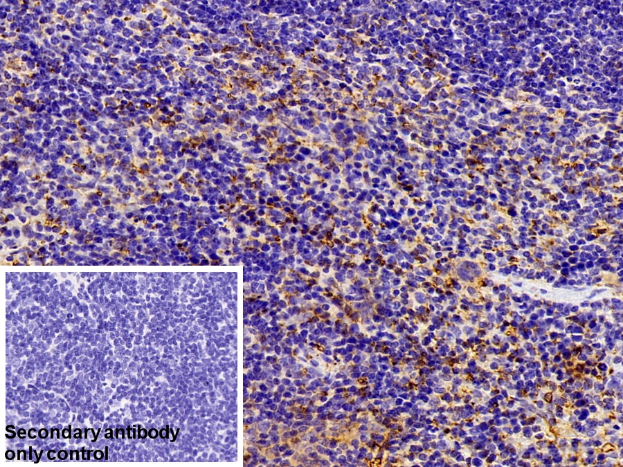
- 应用WB; IHC; ICC; IP.
如果抗体需用于流式细胞术,请参见流式抗体。 - 下载英文说明书 中文说明书
- 规格20µl100µl200µl1ml10ml
- 价格¥ 414¥ 966¥ 1380¥ 3450¥ 13800
- 欲了解实际交易价格和更多情况,请与当地经销商联系!
特异性
该抗体是针对PF4的兔多克隆抗体。在免疫组织化学染色和免疫印迹实验中能识别PF4。
用法
Western blotting: 0.5-2µg/mL;
Immunohistochemistry: 5-20µg/mL;
Immunocytochemistry: 5-20µg/mL;
Optimal working dilutions must be determined by end user.
储存
经常使用则4°C保存。-20°C保存不超过两年。避免反复冻融。
稳定性
热稳定性以损失率显示。损失率是由加速降解试验决定,具体方法如下:在37°C孵育48小时,没有显著的降解或者沉淀产生。保质期内,在适当的条件下存储,损失率低于5%。
赠品
增值服务
相关产品
| 编号 | 适用物种:Mus musculus (Mouse,小鼠) | 应用(仅供研究使用,不用于临床诊断!) |
| APA172Mu01 | 血小板因子4(PF4)活性蛋白 | Cell culture; Activity Assays. |
| RPA172Mu01 | 血小板因子4(PF4)重组蛋白 | Positive Control; Immunogen; SDS-PAGE; WB. |
| RPA172Mu02 | 血小板因子4(PF4)重组蛋白 | Positive Control; Immunogen; SDS-PAGE; WB. |
| PAA172Mu01 | 血小板因子4(PF4)多克隆抗体 | WB; IHC; ICC; IP. |
| PAA172Mu02 | 血小板因子4(PF4)多克隆抗体 | WB; IHC; ICC; IP. |
| LAA172Mu71 | 血小板因子4(PF4)多克隆抗体(生物素标记) | WB; IHC; ICC. |
| LAA172Mu81 | 血小板因子4(PF4)多克隆抗体(异硫氰酸荧光素标记) | WB; IHC; ICC; IF. |
| SEA172Mu | 血小板因子4(PF4)检测试剂盒(酶联免疫吸附试验法) | Enzyme-linked immunosorbent assay for Antigen Detection. |
| SCA172Mu | 血小板因子4(PF4)检测试剂盒(化学发光免疫分析法) | Chemiluminescent immunoassay for Antigen Detection. |
| LMA172Mu | 血小板因子4(PF4)等多因子检测试剂盒(流式荧光发光法) | FLIA Kit for Antigen Detection. |
| KSA172Mu01 | 血小板因子4(PF4)检测试剂盒DIY材料(酶联免疫吸附试验法) | Main materials for "Do It (ELISA Kit) Yourself". |
参考文献
| 杂志 | 参考文献 |
| Biochimica et Biophysica Acta (BBA) - Proteins & Proteomics | Propofol lowers serum PF4 level and partially corrects hypercoagulopathy in endotoxemic rats[PubMed: 20601223] |
| Basic Research in Cardiology | Secretome of apoptotic peripheral blood cells (APOSEC) attenuates microvascular obstruction in a porcine closed chest reperfused acute myocardial infarction model: role of platelet aggregation and vasodilation[PubMed: 22899170] |
| PLoS One | Platelets Recognize Brain-Specific Glycolipid Structures, Respond to Neurovascular Damage and Promote Neuroinflammation[PubMed: PMC3608633] |
| Diving and Hyperbaric Medicine | Effect of splenectomy on platelet activation and decompression sickness outcome in a rat model of decompression[Pubmed:25311322] |
| Journal of Functional Foods | A Phellinus baumii–based supplement containing Salvia miltiorrhiza Bunge improves atherothrombotic profiles through endothelial nitric oxide synthase and cyclooxygenase pathwaysin vitro and in vivo[science:S1756464616300676] |
| Plos one | Aspirin, but Not Tirofiban Displays Protective Effects in Endotoxin Induced Lung Injury[pubmed:27583400] |
| international journal of molecular sciences | Evidence of the Role of R-Spondin 1 and Its Receptor Lgr4 in the Transmission of Mechanical Stimuli to Biological Signals for Bone Formation.[pubmed:28272338] |
| Experimental and Therapeutic Medicine | Feasibility of improving platelet‑rich plasma therapy by using chitosan with high platelet activation ability[pubmed:28450960] |
| Reproductive Toxicology | Aspirin pre-treatment modulates ozone-induced fetal growth restriction and alterations in uterine blood flow in rats[Pubmed: 30528429] |
| INTERNATIONAL JOURNAL OF CARDIOLOGY | Short and long-term changes in platelet and inflammatory biomarkers after cryoballoon and radiofrequency ablation[Pubmed: 30857843] |
| Available at SSRN 3335365 | Evaluating the Platelet Activation Related to the Degradation of Biomaterials by Scheme of Molecular Markers[] |
| journal of biotechnology | Newly Identified HNP‐F from Human Neutrophil Peptide 1 Promotes Hemostasis[Pubmed: 30927490] |
| Data in Brief | Data for short and long-term prothrombotic biomarkers after cryoballoon and radiofrequency ablation[] |
| journal of thoracic and cardiovascular surgery | Evaluating Platelet Activation Related to the Degradation of Biomaterials Using Molecular Markers[Pubmed: 32812629] |
| Marine Drugs | The Inhibitory Effect of Protamine on Platelets is Attenuated by Heparin without Inducing Thrombocytopenia in Rodents[Pubmed: 31533230] |
| Thrombosis Research | Feasibility study of use of rabbit blood to evaluate platelet activation by medical devices[Pubmed: 31838449] |
| Nat Commun | The C5a/C5a receptor 1 axis controls tissue neovascularization through CXCL4 release from platelets[34099640] |
| Vaccine | The effect of ChAdOx1 nCov-19 vaccine on arterial thrombosis development and platelet aggregation in female rats[Pubmed:35183388] |







