转运蛋白1(TNPO1)单克隆抗体
Monoclonal Antibody to Transportin 1 (TNPO1)
MIP1; IPO2; KPNB2; MIP; MIP1; TRN; M9 region interaction protein 1; Importin 2; Karyopherin Beta 2
- 编号MAA272Hu22
- 物种Homo sapiens (Human,人)相同的名称,不同的物种。
- 来源单抗制备
- 宿主小鼠
- 效价(克隆号)C4
- Ig亚型 IgG2b Kappa
- 纯化方式蛋白A + 蛋白G亲和纯化
- 标记物无标记物
- 免疫原RPA272Hu01-转运蛋白1(TNPO1)重组蛋白
- 缓冲液成份0.01M 磷酸盐缓冲液(pH7.4,containing 0.05% Proclin-300,50% glycerol)
- 性状液体
- 浓度1mg/mL
- 且适物种Rattus norvegicus (Rat,大鼠)
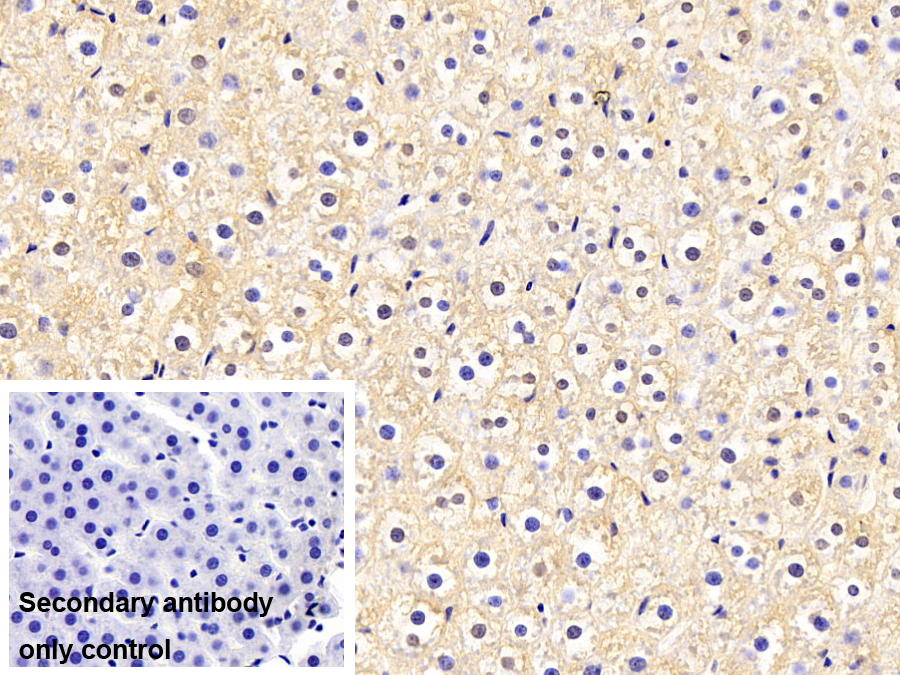
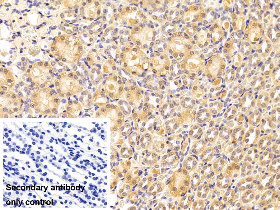
- 应用WB; IHC
如果抗体需用于流式细胞术,请参见流式抗体。 - 下载英文说明书 中文说明书
- 规格20µl100µl200µl1ml10ml
- 价格¥ 605¥ 1411¥ 2016¥ 5040¥ 20160
- 欲了解实际交易价格和更多情况,请与当地经销商联系!
特异性
该抗体是针对TNPO1的小鼠单克隆抗体。在免疫组织化学染色和免疫印迹实验中能识别TNPO1。
用法
Western blotting: 0.01-2µg/mL;
Immunohistochemistry: 5-30µg/mL;
Optimal working dilutions must be determined by end user.
储存
经常使用则4°C保存。-20°C保存不超过两年。避免反复冻融。
稳定性
热稳定性以损失率显示。损失率是由加速降解试验决定,具体方法如下:在37°C孵育48小时,没有显著的降解或者沉淀产生。保质期内,在适当的条件下存储,损失率低于5%。
赠品
增值服务
相关产品
| 编号 | 适用物种:Homo sapiens (Human,人) | 应用(仅供研究使用,不用于临床诊断!) |
| RPA272Hu01 | 转运蛋白1(TNPO1)重组蛋白 | Positive Control; Immunogen; SDS-PAGE; WB. |
| PAA272Hu01 | 转运蛋白1(TNPO1)多克隆抗体 | WB; IHC |
| MAA272Hu21 | 转运蛋白1(TNPO1)单克隆抗体 | WB |
| MAA272Hu22 | 转运蛋白1(TNPO1)单克隆抗体 | WB; IHC |
| SEA272Hu | 转运蛋白1(TNPO1)检测试剂盒(酶联免疫吸附试验法) | Enzyme-linked immunosorbent assay for Antigen Detection. |
| LMA272Hu | 转运蛋白1(TNPO1)等多因子检测试剂盒(流式荧光发光法) | FLIA Kit for Antigen Detection. |





