Ⅰ型胶原α1(COL1a1)单克隆抗体
Monoclonal Antibody to Collagen Type I Alpha 1 (COL1a1)
COL-1A1; COL1-A1; COL1A-1; OI4; Collagen Alpha-1(I)chain
- 编号MAA350Hu21
- 物种Homo sapiens (Human,人)相同的名称,不同的物种。
- 来源单抗制备
- 宿主小鼠
- 效价(克隆号)C1
- Ig亚型 IgG1 Kappa
- 纯化方式蛋白A + 蛋白G亲和纯化
- 标记物无标记物
- 免疫原RPA350Hu01-Ⅰ型胶原α1(COL1a1)重组蛋白
- 缓冲液成份0.01M 磷酸盐缓冲液(pH7.4,containing 0.05% Proclin-300,50% glycerol)
- 性状液体
- 浓度1mg/mL
- 且适物种Rattus norvegicus (Rat,大鼠), Sus scrofa; Porcine (Pig,猪)
- 应用WB; IHC
如果抗体需用于流式细胞术,请参见流式抗体。 - 下载英文说明书 中文说明书
- 规格20µl100µl200µl1ml10ml
- 价格¥ 702¥ 1638¥ 2340¥ 5850¥ 23400
- 欲了解实际交易价格和更多情况,请与当地经销商联系!
特异性
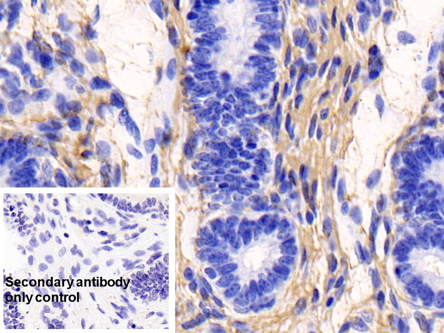
该抗体是针对COL1a1的小鼠单克隆抗体。在免疫组织化学染色和免疫印迹实验中能识别COL1a1。
用法
Western blotting: 0.01-3µg/mL;
Immunohistochemistry: 5-30µg/mL;
Optimal working dilutions must be determined by end user.
储存
经常使用则4°C保存。-20°C保存不超过两年。避免反复冻融。
稳定性
热稳定性以损失率显示。损失率是由加速降解试验决定,具体方法如下:在37°C孵育48小时,没有显著的降解或者沉淀产生。保质期内,在适当的条件下存储,损失率低于5%。
赠品
增值服务
相关产品
| 编号 | 适用物种:Homo sapiens (Human,人) | 应用(仅供研究使用,不用于临床诊断!) |
| EPA350Hu61 | Ⅰ型胶原α1(COL1a1)真核蛋白 | Positive Control; Immunogen; SDS-PAGE; WB. |
| RPA350Hu04 | Ⅰ型胶原α1(COL1a1)重组蛋白 | Positive Control; Immunogen; SDS-PAGE; WB. |
| EPA350Hu62 | Ⅰ型胶原α1(COL1a1)真核蛋白 | Positive Control; Immunogen; SDS-PAGE; WB. |
| RPA350Hu03 | Ⅰ型胶原α1(COL1a1)重组蛋白 | Positive Control; Immunogen; SDS-PAGE; WB. |
| RPA350Hu01 | Ⅰ型胶原α1(COL1a1)重组蛋白 | Positive Control; Immunogen; SDS-PAGE; WB. |
| APA350Hu61 | Ⅰ型胶原α1(COL1a1)活性蛋白 | Cell culture; Activity Assays. |
| RPA350Hu02 | Ⅰ型胶原α1(COL1a1)重组蛋白 | Positive Control; Immunogen; SDS-PAGE; WB. |
| CPA350Hu11 | Ⅰ型胶原α1(COL1a1)牛血清白蛋白偶联物 | Immunogen; SDS-PAGE; WB. |
| CPA350Hu21 | Ⅰ型胶原α1(COL1a1)卵白蛋白偶联物 | Immunogen; SDS-PAGE; WB. |
| PAA350Hu01 | Ⅰ型胶原α1(COL1a1)多克隆抗体 | WB; IHC |
| PAA350Hu03 | Ⅰ型胶原α1(COL1a1)多克隆抗体 | ICC/IF |
| PAA350Hu04 | Ⅰ型胶原α1(COL1a1)多克隆抗体 | WB; IHC; ICC; IP. |
| PAA350Hu08 | Ⅰ型胶原α1(COL1a1)多克隆抗体 | WB; IHC; ICC; IP. |
| PAA350Hu02 | Ⅰ型胶原α1(COL1a1)多克隆抗体 | WB |
| MAA350Hu22 | Ⅰ型胶原α1(COL1a1)单克隆抗体 | WB |
| MAA350Hu21 | Ⅰ型胶原α1(COL1a1)单克隆抗体 | WB; IHC |
| MAA350Hu23 | Ⅰ型胶原α1(COL1a1)单克隆抗体 | WB |
| FAA350Hu02 | 抗Ⅰ型胶原α1(COL1a1)单克隆抗体 | FCM |
| LAA350Hu52 | Ⅰ型胶原α1(COL1a1)单克隆抗体(别藻蓝蛋白标记) | WB; IHC; ICC; IF. |
| SEA350Hu | Ⅰ型胶原α1(COL1a1)检测试剂盒(酶联免疫吸附试验法) | Enzyme-linked immunosorbent assay for Antigen Detection. |
| LMA350Hu | Ⅰ型胶原α1(COL1a1)等多因子检测试剂盒(流式荧光发光法) | FLIA Kit for Antigen Detection. |
参考文献
| 杂志 | 参考文献 |
| Oral Surgery, Oral Medicine, Oral Pathology, Oral Radiology and Endodontology | Simvastatin-loaded porous implant surfaces stimulate preosteoblasts differentiation: an in vitro study[ScienceDirect: S1079210410004919] |
| Journal of Biomedical Materials | Osteoblast response to puerarin-loaded porous titanium surfaces: An in vitro study[Wiley: source] |
| European Archives of Oto-Rhino-Laryngology | Age effects on extracellular matrix production of vocal fold scar fibroblasts in rats[Pubmed: 24077847] |
| J Voice. | Vocal Fold Fibroblast Response to Growth Factor Treatment is Age Dependent: Results From an In Vitro Study [Pubmed: 24495429] |
| Arch Oral Biol. | Porphyromonas gingivalis LPS inhibits osteoblastic differentiation and promotes pro-inflammatory cytokine production in human periodontal ligament stem cells.[Pubmed: 24370188] |
| Laryngoscope. | Establishing principles of macromolecular crowding for in vitro fibrosis research of the vocal fold lamina propria[Pubmed:25545625] |
| UNIVERSA MEDICINA | Allogeneic human dermal fibroblasts are viable in peripheral blood mononuclear co-culture[Univmed:Source] |
| International Journal of Neuropsychopharmacology | The vitamin D receptor agonist, calcipotriol, modulates fibrogenic pathways mitigating liver fibrosis in-vivo: An experimental study.[pubmed:27477355] |
| National Natural Scientific | Role of Gut-Derived Endotoxin on Type I Collagen Production in the Rat Pancreas after Chronic Alcohol Exposure [pubmed:29121396] |
| Nephron. | Prevention of Diabetic Nephropathy by Modified Acidic Fibroblast Growth Factor[pubmed:28768285] |
| Cell and Tissue Research | Effect of TGFβ1, TGFβ3 and keratinocyte conditioned media on functional characteristics of dermal fibroblasts derived from reparative (Balb/c) and …[Pubmed:29637306] |
| International Journal of Molecular Medicine | LOXL2, a copper-dependent monoamine oxidase, activates lung fibroblasts through the TGF-β/Smad pathway[Pubmed: 30320382] |
| International Journal of Molecular Sciences | Association between Plasma HMGB-1 and Silicosis: A Case-Control Study[Pubmed: 30558126] |
| Journal of Proteomics | Salivary proteins from dysplastic leukoplakia and oral squamous cell carcinoma and their potential for early detection[Pubmed: 31706945] |
| Brazilian Journal of Pharmaceutical Sciences | Hesperidin inhibits the epithelial to mesenchymal transition induced by transforming growth factor-β1 in A549 cells through Smad signaling in the cytoplasm[] |
| Ceramics International | Platinum nanoparticles supported on functionalized hydroxyapatite: Anti-oxidant properties and bone cells response[] |
| Scientific reports | Inhibition of eEF2K synergizes with glutaminase inhibitors or 4EBP1 depletion to suppress growth of triple-negative breast cancer cells[33911160] |
| Int J Mol Sci | Antiosteoporotic Nanohydroxyapatite Zoledronate Scaffold Seeded with Bone Marrow Mesenchymal Stromal Cells for Bone Regeneration: A 3D In Vitro Model[Pubmed:35682677] |


















