脂肪酸结合蛋白1(FABP1)单克隆抗体
Monoclonal Antibody to Fatty Acid Binding Protein 1 (FABP1)
FABP-1; FABPL; L-FABP; LFABP; Liver-type fatty acid-binding protein; Fatty Acid Binding Protein 1, Liver
- 编号MAB566Ra21
- 物种Rattus norvegicus (Rat,大鼠)相同的名称,不同的物种。
- 来源单抗制备
- 宿主小鼠
- 效价(克隆号)C1
- Ig亚型 IgG3 Kappa
- 纯化方式蛋白A + 蛋白G亲和纯化
- 标记物无标记物
- 免疫原RPB566Ra01-脂肪酸结合蛋白1(FABP1)重组蛋白
- 缓冲液成份0.01M 磷酸盐缓冲液(pH7.4,containing 0.05% Proclin-300,50% glycerol)
- 性状液体
- 浓度1mg/mL
- 且适物种-
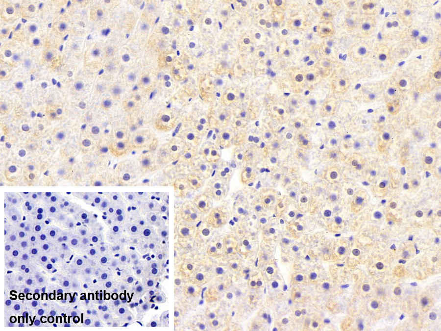
- 应用WB; IHC
如果抗体需用于流式细胞术,请参见流式抗体。 - 下载英文说明书 中文说明书
- 规格20µl100µl200µl1ml10ml
- 价格¥ 688¥ 1604¥ 2292¥ 5730¥ 22920
- 欲了解实际交易价格和更多情况,请与当地经销商联系!
特异性
该抗体是针对FABP1的小鼠单克隆抗体。在免疫组织化学染色和免疫印迹实验中能识别FABP1。
用法
Western blotting: 0.01-2µg/mL;
Immunohistochemistry: 5-30µg/mL;
Optimal working dilutions must be determined by end user.
储存
经常使用则4°C保存。-20°C保存不超过两年。避免反复冻融。
稳定性
热稳定性以损失率显示。损失率是由加速降解试验决定,具体方法如下:在37°C孵育48小时,没有显著的降解或者沉淀产生。保质期内,在适当的条件下存储,损失率低于5%。
赠品
增值服务
相关产品
| 编号 | 适用物种:Rattus norvegicus (Rat,大鼠) | 应用(仅供研究使用,不用于临床诊断!) |
| RPB566Ra01 | 脂肪酸结合蛋白1(FABP1)重组蛋白 | Positive Control; Immunogen; SDS-PAGE; WB. |
| PAB566Ra01 | 脂肪酸结合蛋白1(FABP1)多克隆抗体 | WB; IHC |
| MAB566Ra22 | 脂肪酸结合蛋白1(FABP1)单克隆抗体 | WB; IHC |
| MAB566Ra23 | 脂肪酸结合蛋白1(FABP1)单克隆抗体 | WB; IHC |
| MAB566Ra24 | 脂肪酸结合蛋白1(FABP1)单克隆抗体 | WB; IHC |
| MAB566Ra21 | 脂肪酸结合蛋白1(FABP1)单克隆抗体 | WB; IHC |
| SEB566Ra | 脂肪酸结合蛋白1(FABP1)检测试剂盒(酶联免疫吸附试验法) | Enzyme-linked immunosorbent assay for Antigen Detection. |
| LMB566Ra | 脂肪酸结合蛋白1(FABP1)等多因子检测试剂盒(流式荧光发光法) | FLIA Kit for Antigen Detection. |
参考文献
| 杂志 | 参考文献 |
| J Korean Med Sci. | Acute Kidney Injury after Using Contrast during Cardiac Catheterization in Children with Heart Disease[Pubmed:25120320] |
| Cryobiology.? | Ex vivo use of a Rho-kinase inhibitor during renal preservation improves graft function upon reperfusion[Pubmed:25555715] |
| Clin Transl Sci | Controlled Rewarming after Hypothermia: Adding a New Principle to Renal Preservation[PubMed: 26053383] |
| SAGE journals | The role of serum I-FABP concentration in assessment of small intestine mucosa among HIV-infected patients[Content: Early] |
| Transplant International | Kidney transplantation after oxygenated machine perfusion preservation with Custodiol‐N solution[PubMed: 25882869] |
| European Journal of Clinical Investigation | Prediction of renal function upon reperfusion by ex situ controlled oxygenated rewarming[pubmed:27718228] |
| Journal of Clinical and Diagnostic Research | The Importance of Liver-Fatty Acid Binding Protein in Diagnosis of Liver Damage in Patients with Acute Hepatitis[pubmed:28571184] |
| Annals of Nutrition and Metabolism | Plasma Free Fatty Acids and their Binding Proteins in Preterm Infants[Pubmed:30045009] |
| Scandinavian Journal of Clinical and Laboratory Investigation | Isolated kidney perfusion: the influence of pulsatile flow[Pubmed:29301417] |
| International Journal of Medical Sciences | Circulating fatty acid-binding protein 1 (FABP1) and nonalcoholic fatty liver disease in patients with type 2 diabetes mellitus[Pubmed: 32038102] |
| International Journal of Medical Sciences | FABP1 and FABP2 as markers of diabetic nephropathy[Pubmed: 32922200] |
| Archives of Clinical and Biomedical Research | Profile of Intestinal Barrier Functional Markers in Italian Patients with Diarrhea-Predominant IBS: Preliminary Data from a Low-FODMAPs diet Trial[] |
| Antioxidants | The Effects of Beverage Intake after Exhaustive Exercise on Organ Damage, Inflammation and Oxidative Stress in Healthy Males[34071378] |
| antioxidants | TCA Cycle and Fatty Acids Oxidation Reflect Early Cardiorenal Damage in Normoalbuminuric Subjects with Controlled Hypertension[34356333] |
| Association of plasma fatty acid-binding protein 3 with estimated glomerular filtration rate in patients with type 2 diabetes mellitus[34975301] |





