肠型脂肪酸结合蛋白(FABP2)单克隆抗体
Monoclonal Antibody to Fatty Acid Binding Protein 2, Intestinal (FABP2)
FABPI; IFABP; I-FABP; Intestinal-type fatty acid-binding protein
- 编号MAA559Hu25
- 物种Homo sapiens (Human,人)相同的名称,不同的物种。
- 来源单抗制备
- 宿主小鼠
- 效价(克隆号)C4
- Ig亚型 IgG1 Kappa
- 纯化方式蛋白A + 蛋白G亲和纯化
- 标记物无标记物
- 免疫原EPA559Hu61-肠型脂肪酸结合蛋白(FABP2)真核蛋白
- 缓冲液成份0.01M 磷酸盐缓冲液(pH7.4,containing 0.05% Proclin-300,50% glycerol)
- 性状液体
- 浓度1mg/mL
- 且适物种Mus musculus (Mouse,小鼠), Sus scrofa; Porcine (Pig,猪)
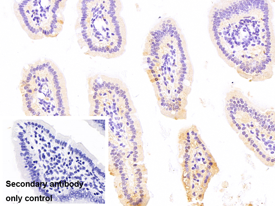
- 应用WB; IHC
如果抗体需用于流式细胞术,请参见流式抗体。 - 下载英文说明书 中文说明书
- 规格20µl100µl200µl1ml10ml
- 价格暂无报价暂无报价暂无报价暂无报价暂无报价
- 欲了解实际交易价格和更多情况,请与当地经销商联系!
特异性
该抗体是针对FABP2的小鼠单克隆抗体。在免疫组织化学染色和免疫印迹实验中能识别FABP2。
用法
Western blotting: 0.01-2µg/mL;
Immunohistochemistry: 5-20µg/mL;
Optimal working dilutions must be determined by end user.
储存
经常使用则4°C保存。-20°C保存不超过两年。避免反复冻融。
稳定性
热稳定性以损失率显示。损失率是由加速降解试验决定,具体方法如下:在37°C孵育48小时,没有显著的降解或者沉淀产生。保质期内,在适当的条件下存储,损失率低于5%。
赠品
增值服务
相关产品
| 编号 | 适用物种:Homo sapiens (Human,人) | 应用(仅供研究使用,不用于临床诊断!) |
| EPA559Hu61 | 肠型脂肪酸结合蛋白(FABP2)真核蛋白 | Positive Control; Immunogen; SDS-PAGE; WB. |
| RPA559Hu01 | 肠型脂肪酸结合蛋白(FABP2)重组蛋白 | Positive Control; Immunogen; SDS-PAGE; WB. |
| APA559Hu61 | 肠型脂肪酸结合蛋白(FABP2)活性蛋白 | Cell culture; Activity Assays. |
| PAA559Hu01 | 肠型脂肪酸结合蛋白(FABP2)多克隆抗体 | WB; IHC |
| PAA559Hu06 | 肠型脂肪酸结合蛋白(FABP2)多克隆抗体 | WB |
| MAA559Hu22 | 肠型脂肪酸结合蛋白(FABP2)单克隆抗体 | Testing in progress |
| MAA559Hu21 | 肠型脂肪酸结合蛋白(FABP2)单克隆抗体 | WB |
| MAA559Hu23 | 肠型脂肪酸结合蛋白(FABP2)单克隆抗体 | WB |
| MAA559Hu25 | 肠型脂肪酸结合蛋白(FABP2)单克隆抗体 | WB; IHC |
| HEA559Hu | 肠型脂肪酸结合蛋白(FABP2)检测试剂盒(酶联免疫吸附试验法,高敏型) | Enzyme-linked immunosorbent assay for Antigen Detection. |
| SEA559Hu | 肠型脂肪酸结合蛋白(FABP2)检测试剂盒(酶联免疫吸附试验法) | Enzyme-linked immunosorbent assay for Antigen Detection. |
| SCA559Hu | 肠型脂肪酸结合蛋白(FABP2)检测试剂盒(化学发光免疫分析法) | Chemiluminescent immunoassay for Antigen Detection. |
| LMA559Hu | 肠型脂肪酸结合蛋白(FABP2)等多因子检测试剂盒(流式荧光发光法) | FLIA Kit for Antigen Detection. |
参考文献
| 杂志 | 参考文献 |
| Food Chem | Cranberries (Oxycoccus quadripetalus) inhibit lipid metabolism and modulate leptin and adiponectin secretion in 3T3-L1 adipocytes[PubMed: 25952883] |
| Oxid Med Cell Longev | Elevation of HO-1 Expression Mitigates Intestinal Ischemia-Reperfusion Injury and Restores Tight Junction Function in a Rat Liver Transplantation Model[PubMed: 26064429] |
| Vet Immunol Immunopathol | Immunomodulatory potential of β-glucan as supportive treatment in porcine rotavirus enteritis.[pubmed:28895864] |
| PLoS One | Protective effect of aplysin on liver tissue and the gut microbiota in alcohol-fed rats[pubmed:28622357] |
| Journal of Immunology and Immunopathology | Effect of Porcine Rotavirus Enteritis on Concentrations of Interferonγ, Immunoglobulin-G and Intestinal Fatty Acid-Binding Protein-2 and Peripheral Leukocyte Function[10.5958/0973-9149.2017.00011.9] |
| Cellular Physiology and Biochemistry | Activated Α7nachr Improves Postoperative Cognitive Dysfunction and Intestinal Injury Induced by Cardiopulmonary Bypass in Rats: Inhibition of the Proinflammatory …[Pubmed:29672286] |
| European Journal of Clinical Nutrition | Lack of liver steatosis in germ-free mice following hypercaloric diets[Pubmed:29926176] |
| Nutrients | Protective Effect of Aplysin Supplementation on Intestinal Permeability and Microbiota in Rats Treated with Ethanol and Iron[Pubmed:29861488] |
| International Surgery Journal | Intestinal fatty acid binding protein (I-FABP) as a marker for acute intestinal ischemia[Doi: 10.18203/2349-2902.isj20190058] |
| Hepatology Communications | Effect of a Multistrain Probiotic on Cognitive Function and Risk of Falls in Patients With Cirrhosis: A Randomized Trial[] |
| Tropical Animal Health and Production | Immunomodulating dose of levamisole stimulates innate immune response and prevents intestinal damage in porcine rotavirus diarrhea: a restricted-randomized …[Pubmed: 30790158] |
| Biological & Pharmaceutical Bulletin | Role of Aquaporin-3 in Intestinal Injury Induced by Sepsis[Pubmed: 31582652] |
| International Journal of Medical Sciences | FABP1 and FABP2 as markers of diabetic nephropathy[Pubmed: 32922200] |
| Int Immunopharmacol | Hydrogen attenuates radiation-induced intestinal damage by reducing oxidative stress and inflammatory response[Pubmed: 32361189] |
| Journal of Exercise Physiology Online | Markers of Intestinal Damage in Individuals with and without Obesity during a 12-Week Exercise Period.[] |
| The Journal of Nutritional Biochemistry | Effects of fucoidan on tumor prevention and gut flora[] |
| european journal of clinical nutrition? | Effect of Lactobacillus casei on lipid metabolism and intestinal microflora in patients with alcoholic liver injury[33514869] |
| J Cell Mol Med | The ¦Á2AR/Caveolin©\1/p38MAPK/NF©\¦ÊB axis explains dexmedetomidine protection against lung injury following intestinal ischaemia©\reperfusion[34114328] |
| BMC Gastroenterol | Somatization in patients with predominant diarrhoea irritable bowel syndrome: the role of the intestinal barrier function and integrity[34022802] |
| JOURNAL OF APPLIED PHYSIOLOGY | Impact of Successive Exertional Heat Injuries on Thermoregulatory and Systemic Inflammatory Responses in Mice[34528459] |
| PLoS One | The protective effects of HIF-1α activation on sepsis induced intestinal mucosal barrier injury in rats model of sepsis[Pubmed:35576220] |




