肌球蛋白轻链3(MYL3)单克隆抗体
Monoclonal Antibody to Myosin Light Chain 3, Alkali, Ventricular, Slow Skeletal (MYL3)
CMH8; MLC1V; VLC1; MLC1SB; Cardiac myosin light chain 1; Ventricular/slow twitch myosin alkali light chain
- 编号MAD425Hu22
- 物种Homo sapiens (Human,人)相同的名称,不同的物种。
- 来源单抗制备
- 宿主小鼠
- 效价(克隆号)C2
- Ig亚型 IgG2a Kappa
- 纯化方式蛋白A + 蛋白G亲和纯化
- 标记物无标记物
- 免疫原RPD425Hu01-肌球蛋白轻链3(MYL3)重组蛋白
- 缓冲液成份0.01M 磷酸盐缓冲液(pH7.4,containing 0.05% Proclin-300,50% glycerol)
- 性状液体
- 浓度1mg/mL
- 且适物种Rattus norvegicus (Rat,大鼠), Sus scrofa; Porcine (Pig,猪)
- 应用WB; IHC
如果抗体需用于流式细胞术,请参见流式抗体。 - 下载英文说明书 中文说明书
- 规格20µl100µl200µl1ml10ml
- 价格暂无报价暂无报价暂无报价暂无报价暂无报价
- 欲了解实际交易价格和更多情况,请与当地经销商联系!
特异性
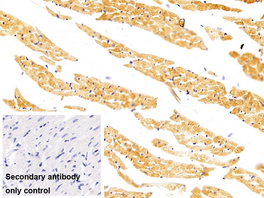
该抗体是针对MYL3的小鼠单克隆抗体。在免疫组织化学染色和免疫印迹实验中能识别MYL3。
用法
Western blotting: 0.01-2µg/mL;
Immunohistochemistry: 5-20µg/mL;
Optimal working dilutions must be determined by end user.
储存
经常使用则4°C保存。-20°C保存不超过两年。避免反复冻融。
稳定性
热稳定性以损失率显示。损失率是由加速降解试验决定,具体方法如下:在37°C孵育48小时,没有显著的降解或者沉淀产生。保质期内,在适当的条件下存储,损失率低于5%。
赠品
增值服务
相关产品
| 编号 | 适用物种:Homo sapiens (Human,人) | 应用(仅供研究使用,不用于临床诊断!) |
| RPD425Hu01 | 肌球蛋白轻链3(MYL3)重组蛋白 | Positive Control; Immunogen; SDS-PAGE; WB. |
| PAD425Hu01 | 肌球蛋白轻链3(MYL3)多克隆抗体 | WB; IHC |
| FAD425Hu01 | 抗肌球蛋白轻链3(MYL3)多克隆抗体 | FCM |
| MAD425Hu21 | 肌球蛋白轻链3(MYL3)单克隆抗体 | WB |
| MAD425Hu22 | 肌球蛋白轻链3(MYL3)单克隆抗体 | WB; IHC |
| MAD425Hu23 | 肌球蛋白轻链3(MYL3)单克隆抗体 | WB |
| MAD425Hu24 | 肌球蛋白轻链3(MYL3)单克隆抗体 | IHC |
| SED425Hu | 肌球蛋白轻链3(MYL3)检测试剂盒(酶联免疫吸附试验法) | Enzyme-linked immunosorbent assay for Antigen Detection. |
| LMD425Hu | 肌球蛋白轻链3(MYL3)等多因子检测试剂盒(流式荧光发光法) | FLIA Kit for Antigen Detection. |





