信号传导转录激活因子3(STAT3)单克隆抗体
Monoclonal Antibody to Signal Transducer And Activator Of Transcription 3 (STAT3)
APRF; Acute-Phase Response Factor
- 编号MAB743Mi22
- 物种Homo sapiens (Human,人), Mus musculus (Mouse,小鼠), Rattus norvegicus (Rat,大鼠)相同的名称,不同的物种。
- 来源单抗制备
- 宿主小鼠
- 效价(克隆号)D11
- Ig亚型 IgG1 Kappa
- 纯化方式蛋白A + 蛋白G亲和纯化
- 标记物无标记物
- 免疫原RPB743Mi03-信号传导转录激活因子3(STAT3)重组蛋白
- 缓冲液成份磷酸盐缓冲液(pH7.4,含有0.02% NaN3和50%甘油)
- 性状液体
- 浓度0.74mg/ml
- 且适物种Homo sapiens (Human,人), Mus musculus (Mouse,小鼠), Rattus norvegicus (Rat,大鼠)
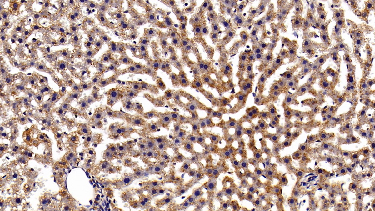
- 应用WB; IHC
如果抗体需用于流式细胞术,请参见流式抗体。 - 下载英文说明书 中文说明书
- 规格20µl100µl200µl1ml10ml
- 价格¥ 594¥ 1386¥ 1980¥ 4950¥ 19800
- 欲了解实际交易价格和更多情况,请与当地经销商联系!
特异性
该抗体是针对STAT3的小鼠单克隆抗体。在免疫组织化学染色和免疫印迹实验中能识别STAT3。
用法
Western blotting: 0.01-2µg/mL;
Immunohistochemistry: 5-20µg/mL;
Immunocytochemistry: 5-20µg/mL;
Optimal working dilutions must be determined by end user.
储存
经常使用则4°C保存。-20°C保存不超过两年。避免反复冻融。
稳定性
热稳定性以损失率显示。损失率是由加速降解试验决定,具体方法如下:在37°C孵育48小时,没有显著的降解或者沉淀产生。保质期内,在适当的条件下存储,损失率低于5%。
赠品
增值服务
相关产品
| 编号 | 适用物种:Homo sapiens (Human,人), Mus musculus (Mouse,小鼠), Rattus norvegicus (Rat,大鼠) | 应用(仅供研究使用,不用于临床诊断!) |
| RPB743Mi01 | 信号传导转录激活因子3(STAT3)重组蛋白 | Positive Control; Immunogen; SDS-PAGE; WB. |
| RPB743Mi02 | 信号传导转录激活因子3(STAT3)重组蛋白 | Positive Control; Immunogen; SDS-PAGE; WB. |
| RPB743Mi03 | 信号传导转录激活因子3(STAT3)重组蛋白 | Positive Control; Immunogen; SDS-PAGE; WB. |
| RPB743Mi04 | 信号传导转录激活因子3(STAT3)重组蛋白 | Positive Control; Immunogen; SDS-PAGE; WB. |
| RPB743Mi05 | 信号传导转录激活因子3(STAT3)重组蛋白 | Positive Control; Immunogen; SDS-PAGE; WB. |
| PAB743Mi03 | 信号传导转录激活因子3(STAT3)多克隆抗体 | WB; ICC/IF |
| PAB743Mi01 | 信号传导转录激活因子3(STAT3)多克隆抗体 | IHC |
| PAB743Mi02 | 信号传导转录激活因子3(STAT3)多克隆抗体 | IHC; ICC/IF |
| PAB743Mi04 | 信号传导转录激活因子3(STAT3)多克隆抗体 | WB; IHC |
| PAB743Mi05 | 信号传导转录激活因子3(STAT3)多克隆抗体 | WB; IHC; ICC; IP. |
| MAB743Mi27 | 信号传导转录激活因子3(STAT3)单克隆抗体 | ICC/IF |
| MAB743Mi22 | 信号传导转录激活因子3(STAT3)单克隆抗体 | WB; IHC |
| MAB743Mi23 | 信号传导转录激活因子3(STAT3)单克隆抗体 | WB; IHC |
| MAB743Mi24 | 信号传导转录激活因子3(STAT3)单克隆抗体 | WB; IHC |
| MAB743Mi21 | 信号传导转录激活因子3(STAT3)单克隆抗体 | WB; IHC |
| MAB743Mi25 | 信号传导转录激活因子3(STAT3)单克隆抗体 | WB; IHC |
| SEB743Mi | 信号传导转录激活因子3(STAT3)检测试剂盒(酶联免疫吸附试验法) | Enzyme-linked immunosorbent assay for Antigen Detection. |
| LMB743Mi | 信号传导转录激活因子3(STAT3)等多因子检测试剂盒(流式荧光发光法) | FLIA Kit for Antigen Detection. |
参考文献
| 杂志 | 参考文献 |
| Pharmaceutics | Oleacein and Foam Cell Formation in Human Monocyte-Derived Macrophages: A Potential Strategy Against Early and Advanced Atherosclerotic Lesions[Pubmed: 32283795] |
| CLINICAL IMMUNOLOGY | Serum ERK1/2 proteins fluctuating with HBV infection report frequency of viral-specific CD8+ T cells and predict IFNα therapeutic effect in chronic hepatitis B patients[Pubmed: 32791312] |










