精氨酸脱羧酶(ADC)多克隆抗体
Polyclonal Antibody to Arginine Decarboxylase (ADC)
AZIN2; AzI2; ODC1L; ODC-p; ARGDC; Ornithine Decarboxylase Like; ornithine decarboxylase paralog; Antizyme inhibitor 2
特异性
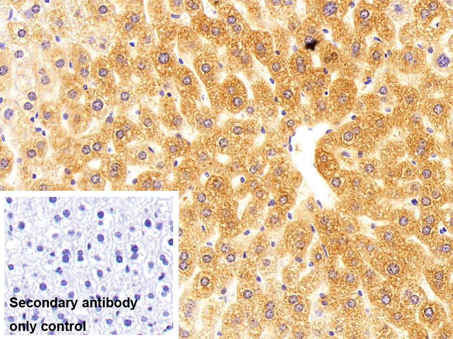
该抗体是针对ADC的兔多克隆抗体。在免疫组织化学染色和免疫印迹实验中能识别ADC。
用法
Western blotting: 0.1-2µg/mL;
Immunohistochemistry: 5-20µg/mL;
Immunocytochemistry: 5-20µg/mL;
Optimal working dilutions must be determined by end user.
储存
经常使用则4°C保存。-20°C保存不超过两年。避免反复冻融。
稳定性
热稳定性以损失率显示。损失率是由加速降解试验决定,具体方法如下:在37°C孵育48小时,没有显著的降解或者沉淀产生。保质期内,在适当的条件下存储,损失率低于5%。
赠品
增值服务
相关产品
| 编号 | 适用物种:Mus musculus (Mouse,小鼠) | 应用(仅供研究使用,不用于临床诊断!) |
| RPG460Mu01 | 精氨酸脱羧酶(ADC)重组蛋白 | Positive Control; Immunogen; SDS-PAGE; WB. |
| PAG460Mu01 | 精氨酸脱羧酶(ADC)多克隆抗体 | IHC |
| SEG460Mu | 精氨酸脱羧酶(ADC)检测试剂盒(酶联免疫吸附试验法) | Enzyme-linked immunosorbent assay for Antigen Detection. |
| LMG460Mu | 精氨酸脱羧酶(ADC)等多因子检测试剂盒(流式荧光发光法) | FLIA Kit for Antigen Detection. |



