肉毒碱-O-甲基转移酶(CORT)多克隆抗体
Polyclonal Antibody to Carnitine-O-Octanoyltransferase (CORT)
COT; CROT; Peroxisomal Carnitine O-Octanoyltransferase
- 编号PAC406Mu01
- 物种Mus musculus (Mouse,小鼠)相同的名称,不同的物种。
- 来源多抗制备
- 宿主兔
- 效价-
- Ig类型IgG
- 纯化方式抗原特异性亲和纯化
- 标记物无标记物
- 免疫原RPC406Mu01-肉毒碱-O-甲基转移酶(CORT)重组蛋白
- 缓冲液成份0.01M 磷酸盐缓冲液(pH7.4,containing 0.05% Proclin-300,50% glycerol)
- 性状液体
- 浓度0.46mg/ml
- 且适物种-
- 应用WB; IHC
如果抗体需用于流式细胞术,请参见流式抗体。 - 下载英文说明书 中文说明书
- 规格20µl100µl200µl1ml10ml
- 价格¥ 648¥ 1512¥ 2160¥ 5400¥ 21600
- 欲了解实际交易价格和更多情况,请与当地经销商联系!
特异性
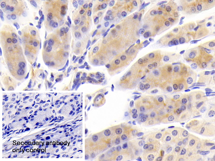
该抗体是针对CORT的兔多克隆抗体。在免疫组织化学染色和免疫印迹实验中能识别CORT。
用法
Western blotting: 0.01-2µg/mL;
Immunohistochemistry: 5-20µg/mL;
Immunofluorescence:5-20µg/mL;
Optimal working dilutions must be determined by end user.
储存
经常使用则4°C保存。-20°C保存不超过两年。避免反复冻融。
稳定性
热稳定性以损失率显示。损失率是由加速降解试验决定,具体方法如下:在37°C孵育48小时,没有显著的降解或者沉淀产生。保质期内,在适当的条件下存储,损失率低于5%。
赠品
增值服务
相关产品
| 编号 | 适用物种:Mus musculus (Mouse,小鼠) | 应用(仅供研究使用,不用于临床诊断!) |
| RPC406Mu01 | 肉毒碱-O-甲基转移酶(CORT)重组蛋白 | Positive Control; Immunogen; SDS-PAGE; WB. |
| PAC406Mu01 | 肉毒碱-O-甲基转移酶(CORT)多克隆抗体 | WB; IHC |










