含LETM1域蛋白1(LETMD1)多克隆抗体
Polyclonal Antibody to LETM1 Domain Containing Protein 1 (LETMD1)
HCCR1; HCRR-2; Cervical Cancer 1 Protooncogene; Cervical cancer proto-oncogene 2 protein
- 编号PAR202Hu01
- 物种Homo sapiens (Human,人)相同的名称,不同的物种。
- 来源多抗制备
- 宿主兔
- 效价-
- Ig类型IgG
- 纯化方式抗原特异性亲和纯化
- 标记物无标记物
- 免疫原RPR202Hu01-含LETM1域蛋白1(LETMD1)重组蛋白
- 缓冲液成份磷酸盐缓冲液(pH7.4,含有0.02% NaN3和50%甘油)
- 性状液体
- 浓度0.5mg/mL
- 且适物种Bos taurus; Bovine (Cattle,牛)
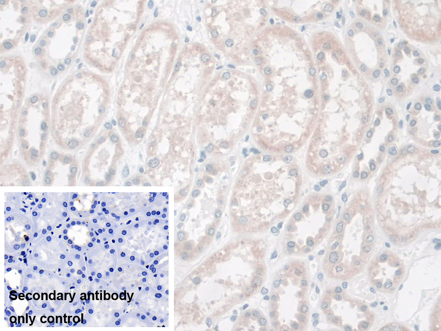
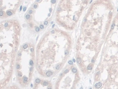
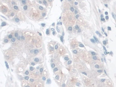
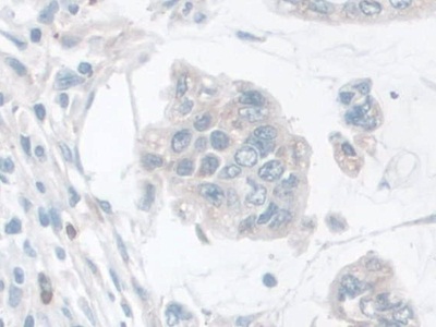
- 应用WB; IHC
如果抗体需用于流式细胞术,请参见流式抗体。 - 下载英文说明书 中文说明书
- 规格20µl100µl200µl1ml10ml
- 价格¥ 691¥ 1613¥ 2304¥ 5760¥ 23040
- 欲了解实际交易价格和更多情况,请与当地经销商联系!
特异性
该抗体是针对LETMD1的兔多克隆抗体。在免疫组织化学染色和免疫印迹实验中能识别LETMD1。
用法
Western blotting: 0.01-2µg/mL;
Immunohistochemistry: 5-20µg/mL;
Optimal working dilutions must be determined by end user.
储存
经常使用则4°C保存。-20°C保存不超过两年。避免反复冻融。
稳定性
热稳定性以损失率显示。损失率是由加速降解试验决定,具体方法如下:在37°C孵育48小时,没有显著的降解或者沉淀产生。保质期内,在适当的条件下存储,损失率低于5%。
赠品
增值服务
相关产品
| 编号 | 适用物种:Homo sapiens (Human,人) | 应用(仅供研究使用,不用于临床诊断!) |
| RPR202Hu01 | 含LETM1域蛋白1(LETMD1)重组蛋白 | Positive Control; Immunogen; SDS-PAGE; WB. |
| PAR202Hu01 | 含LETM1域蛋白1(LETMD1)多克隆抗体 | WB; IHC |
| MAR202Hu21 | 含LETM1域蛋白1(LETMD1)单克隆抗体 | WB; IHC; ICC; IP. |
| SER202Hu | 含LETM1域蛋白1(LETMD1)检测试剂盒(酶联免疫吸附试验法) | Enzyme-linked immunosorbent assay for Antigen Detection. |
| LMR202Hu | 含LETM1域蛋白1(LETMD1)等多因子检测试剂盒(流式荧光发光法) | FLIA Kit for Antigen Detection. |









