血管紧张素转化酶(ACE)多克隆抗体
Polyclonal Antibody to Angiotensin I Converting Enzyme (ACE)
CD143; ACE1; DCP1; ACEI; ACE-I; Kininase II; Angiotensin-Converting Enzyme; Peptidyl-Dipeptidase A; Dipeptidyl Carboxypeptidase 1; Angiotensin-converting enzyme, soluble form
- 编号PAA004Po01
- 物种Sus scrofa; Porcine (Pig,猪)相同的名称,不同的物种。
- 来源多抗制备
- 宿主兔
- 效价-
- Ig类型IgG
- 纯化方式抗原特异性亲和纯化
- 标记物无标记物
- 免疫原RPA004Po01-血管紧张素转化酶(ACE)重组蛋白
- 缓冲液成份0.01M 磷酸盐缓冲液(pH7.4,containing 0.05% Proclin-300,50% glycerol)
- 性状液体
- 浓度0.24mg/mL
- 且适物种-
- 应用WB,IHC
如果抗体需用于流式细胞术,请参见流式抗体。 - 下载英文说明书 中文说明书
- 规格20µl100µl200µl1ml10ml
- 价格¥ 680¥ 1588¥ 2268¥ 5670¥ 22680
- 欲了解实际交易价格和更多情况,请与当地经销商联系!
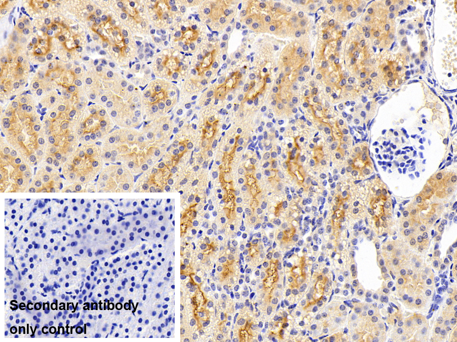
特异性
该抗体是针对ACE的兔多克隆抗体。在免疫组织化学染色和免疫印迹实验中能识别ACE。
用法
Western blotting: 0.1-2µg/mL;
Immunohistochemistry: 5-20µg/mL;
Immunocytochemistry: 5-20µg/mL;
Optimal working dilutions must be determined by end user.
储存
经常使用则4°C保存。-20°C保存不超过两年。避免反复冻融。
稳定性
热稳定性以损失率显示。损失率是由加速降解试验决定,具体方法如下:在37°C孵育48小时,没有显著的降解或者沉淀产生。保质期内,在适当的条件下存储,损失率低于5%。
赠品
增值服务
相关产品
| 编号 | 适用物种:Sus scrofa; Porcine (Pig,猪) | 应用(仅供研究使用,不用于临床诊断!) |
| RPA004Po01 | 血管紧张素转化酶(ACE)重组蛋白 | Positive Control; Immunogen; SDS-PAGE; WB. |
| PAA004Po01 | 血管紧张素转化酶(ACE)多克隆抗体 | WB,IHC |
| LAA004Po81 | 血管紧张素转化酶(ACE)多克隆抗体(异硫氰酸荧光素标记) | WB; IHC; ICC; IF. |
| LAA004Po71 | 血管紧张素转化酶(ACE)多克隆抗体(生物素标记) | WB; IHC; ICC. |
| MAA004Po21 | 血管紧张素转化酶(ACE)单克隆抗体 | WB; IHC; ICC; IP. |
| SEA004Po | 血管紧张素转化酶(ACE)检测试剂盒(酶联免疫吸附试验法) | Enzyme-linked immunosorbent assay for Antigen Detection. |
| LMA004Po | 血管紧张素转化酶(ACE)等多因子检测试剂盒(流式荧光发光法) | FLIA Kit for Antigen Detection. |
参考文献
| 杂志 | 参考文献 |
| Lipids in Health and disease | Association of elevated blood pressure and impaired vasorelaxation in experimental Sprague-Dawley rats fed with heated vegetable oil[PubMed: PMC2914008] |
| Malaysian Journal of Medical Sciences | Effect of Repeatedly Heated Palm Olein on Blood Pressure–Regulating Enzymes Activity and Lipid Peroxidation in Rats[Usm: MJMS19120] |
| Journal of Cancer Therapy | Plasma Levels of Angiotensin-Converting Enzymes 1 and 2 and AGTR2 (T1247G and A5235G) Gene Polymorphisms Are Associated to Breast Cancer Progression.[Scirp: Source] |
| The American journal of clinical nutrition | Vascular function and atherosclerosis progression after 1 y of flavonoid intake in statin-treated postmenopausal women with type 2 diabetes: a double-blind randomized controlled trial.[Pubmed: 23553151] |
| Journal of Vascular Surgery | Cathepsin G deficiency reduces periaortic calcium chloride injury-induced abdominal aortic aneurysms in mice [Pubmed:25037606] |
| Reprod Toxicol.? | ACE2 activation by xanthenone prevents leptin-induced increases in blood pressure and proteinuria during pregnancy in Sprague-Dawley rats[Pubmed:25205467] |
| Chemical Research in Toxicology | Sub-chronic Toxicity and Cardiovascular Responses in Spontaneously Hypertensive Rats after Exposure to Multiwall Carbon Nanotubes by Intratracheal Instillation[Pubmed:25580880] |
| Chem Biol Interact | Arsenic causes aortic dysfunction and systemic hypertension in rats: Augmentation of angiotensin II signaling[PubMed: 26079204] |
| Biomed Res Int | Protective Effect of Enalapril against Methionine-Enriched Diet-Induced Hypertension: Role of Endoplasmic Reticulum and Oxidative Stress[PubMed: 26640794] |
| Clinics (Sao Paulo) | Mechanisms[PubMed: 26602523] |
| Chemical Research in Toxicology | Subchronic Toxicity and Cardiovascular Responses in Spontaneously Hypertensive Rats after Exposure to Multiwalled Carbon Nanotubes by Intratracheal Instillation[PubMed: 25580880] |
| Intensive Care Medicine Experimental | Angiotensin converting enzymes in patients with acute respiratory distress syndrome[Content: 3] |
| Evid Based Complement Alternat Med. | Garlic Attenuates Plasma and Kidney ACE-1 and AngII Modulations in Early Streptozotocin-Induced Diabetic Rats: Renal Clearance and Blood Pressure Implications[Pubmed:27293465] |
| Вавиловский журнал генетики и селекции | Ренин-ангиотензин-альдостероновая система у крыс линии НИСАГ (ISIAH) со стресс-индуцированной артериальной гипертензией[30_Dubinina.pdf] |
| Animal Biology | The effect of heat stress on bull sperm quality and related HSPs expression[content:journals] |
| biomedicine & pharmacotherapy | Citrus leaf extract reduces blood pressure and vascular damage in repeatedly heated palm oil diet-Induced hypertensive rats.[pubmed:28068636] |
| Biomedicine & Pharmacotherapy | Parkia speciosa empty pod prevents hypertension and cardiac damage in rats given N(G)-nitro- L -arginine methyl ester[pubmed:28992471] |
| Journal of Functional Foods | Antihypertensive effects of Ocimum gratissimumextract: Angiotensin-converting enzyme inhibitor in vitro and in vivo investigation[10.1016/j.jff.2017.05.033] |
| Molecules | Protective Effect of Polyphenol-Rich Extract from Bee Pollen in a High-Fat Diet[Pubmed:29614743] |
| Journal of Surgical Research | Impact of angiotensin-converting enzyme 2 levels on postoperative pneumonia after esophagectomy[Pubmed:29506841] |
| Intensive Care Medicine | Angiotensin-converting enzymes in acute respiratory distress syndrome[] |
| International Journal of Biological Sciences | Vascular Protection of TPE-CA on Hyperhomocysteinemia-induced Vascular Endothelial Dysfunction Through AA Metabolism Modulated CYPs Pathway[] |
| Medicine | Alteration and association between serum ACE2/angiotensin (1-7)/Mas axis and oxidative stress in chronic kidney disease: A pilot study[Pubmed: 32756181] |
| American Journal of Respiratory and Critical Care Medicine | Equilibrium Angiotensin Metabolite Profiling in Patients with Acute Respiratory Distress Syndrome Indicates Angiotensin Converting Enzyme Inhibition[Pubmed: 32628511] |
| Int Immunopharmacol | Crocin protects against cardiotoxicity induced by doxorubicin through TLR-2/NF-κB signal pathway in vivo and vitro[Pubmed: 32388215] |
| Food Bioscience | Djulis (Chenopodium formosanum) and its bioactive compounds affect vasodilation, angiotensin converting enzyme activity, and hypertension[] |
| Journal of Extracellular Vesicles | MiR155-5p in adventitial fibroblasts-derived extracellular vesicles inhibits vascular smooth muscle cell proliferation via suppressing angiotensin-converting enzyme …[] |
| Biotechnology and Pharmacy | Chrysin pretreatment improves mitochondrial enzymes and angiotensin converting enzymes in L-NAME induced hypertensive rats[] |
| Dikkat Eksikliği Hiperaktivite Bozukluğu Tanısı Olan Anjiyotensin I, II, III, Alamandin peptid, Anjiyotensin Dönüştürücü Enzim (ACE), NADPH Oksidaz Enzim Serum …[] |




