补体成分3a(C3a)多克隆抗体
Polyclonal Antibody to Complement Component 3a (C3a)
特异性
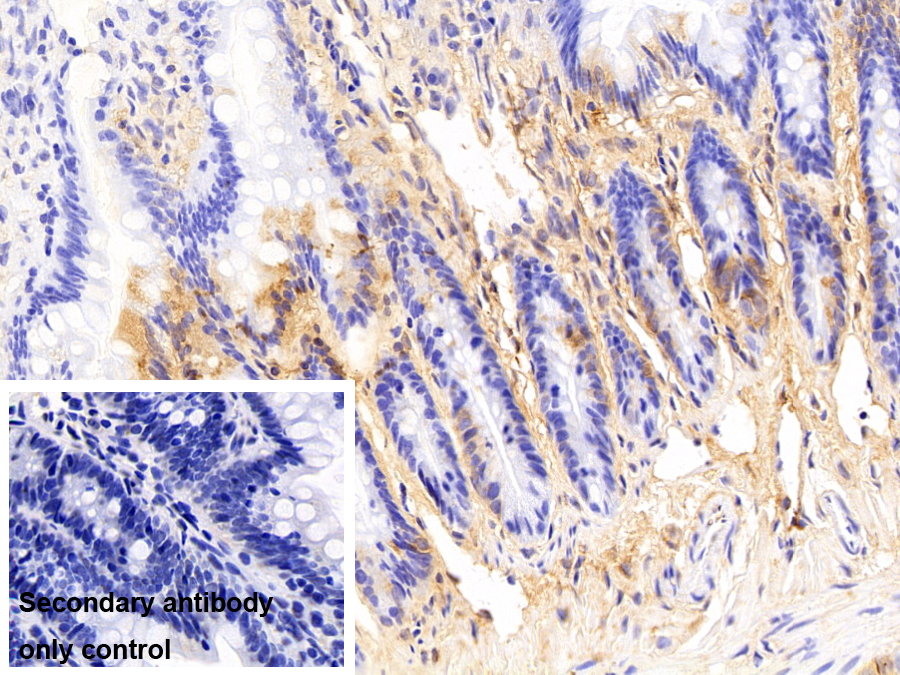
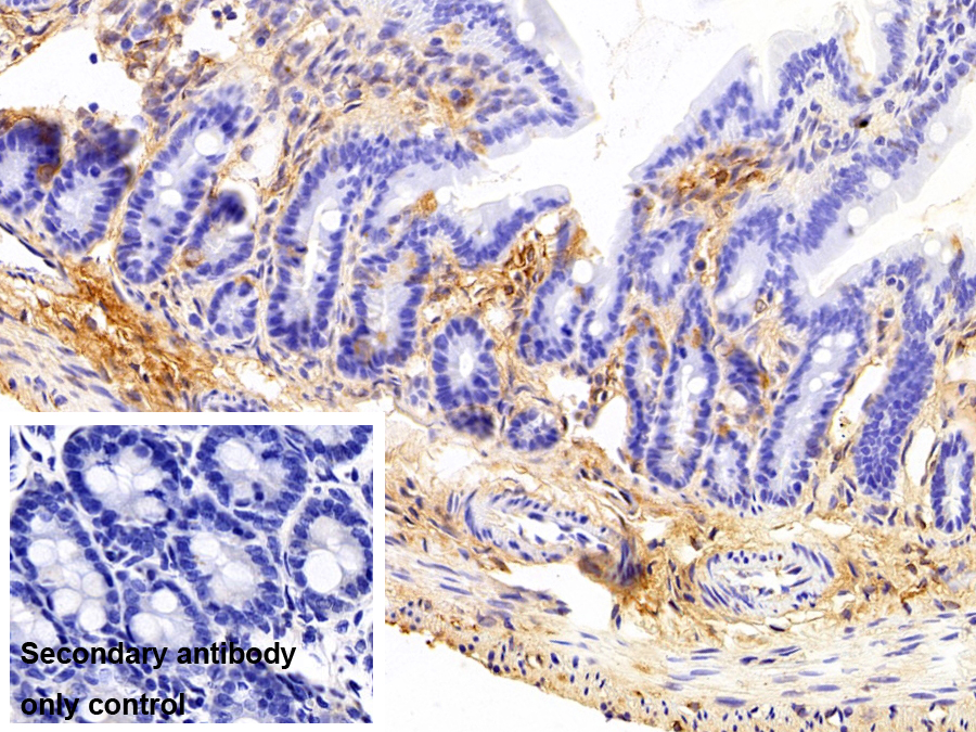
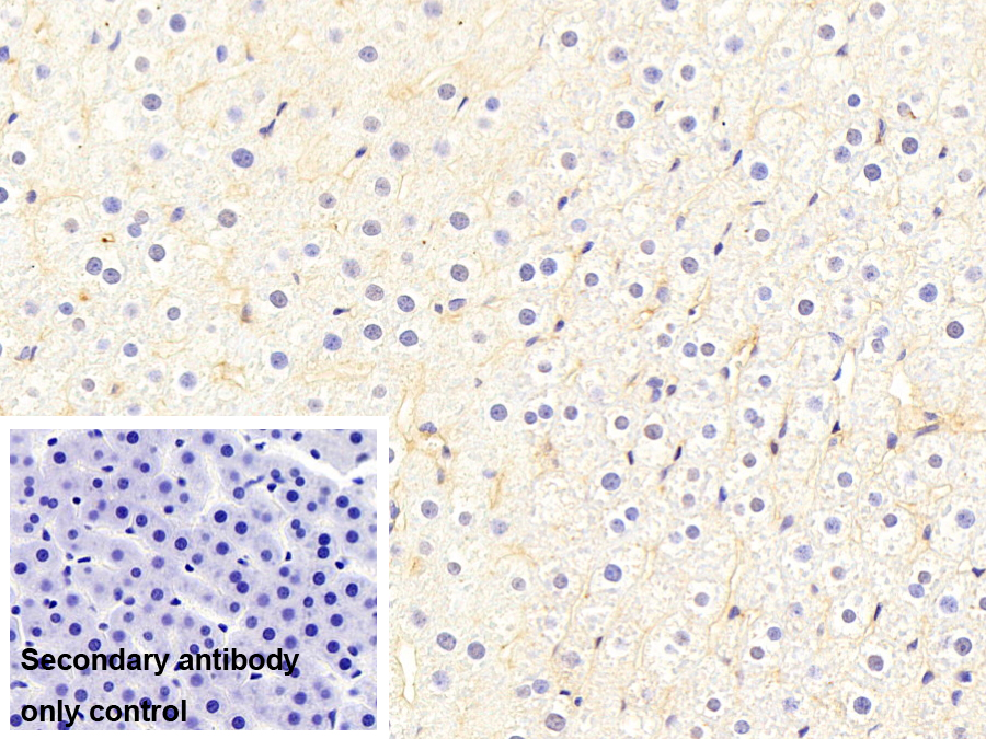
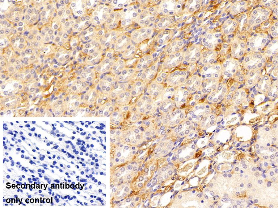
该抗体是针对C3a的兔多克隆抗体。在免疫组织化学染色和免疫印迹实验中能识别C3a。
用法
Western blotting: 0.1-2µg/mL;
Immunohistochemistry: 5-20µg/mL;
Immunocytochemistry: 5-20µg/mL;
Optimal working dilutions must be determined by end user.
储存
经常使用则4°C保存。-20°C保存不超过两年。避免反复冻融。
稳定性
热稳定性以损失率显示。损失率是由加速降解试验决定,具体方法如下:在37°C孵育48小时,没有显著的降解或者沉淀产生。保质期内,在适当的条件下存储,损失率低于5%。
赠品
相关产品
| 编号 | 适用物种:Rattus norvegicus (Rat,大鼠) | 应用(仅供研究使用,不用于临床诊断!) |
| EPA387Ra61 | 补体成分3a(C3a)真核蛋白 | Positive Control; Immunogen; SDS-PAGE; WB. |
| RPA387Ra01 | 补体成分3a(C3a)重组蛋白 | Positive Control; Immunogen; SDS-PAGE; WB. |
| PAA387Ra01 | 补体成分3a(C3a)多克隆抗体 | WB; IHC |
| PAA387Ra06 | 补体成分3a(C3a)多克隆抗体 | WB,IHC |
| SEA387Ra | 补体成分3a(C3a)检测试剂盒(酶联免疫吸附试验法) | Enzyme-linked immunosorbent assay for Antigen Detection. |
| SCA387Ra | 补体成分3a(C3a)检测试剂盒(化学发光免疫分析法) | Chemiluminescent immunoassay for Antigen Detection. |
| LMA387Ra | 补体成分3a(C3a)等多因子检测试剂盒(流式荧光发光法) | FLIA Kit for Antigen Detection. |
| KSA387Ra01 | 补体成分3a(C3a)检测试剂盒DIY材料(酶联免疫吸附试验法) | Main materials for "Do It (ELISA Kit) Yourself". |
参考文献
| 杂志 | 参考文献 |
| 22 | Immobilization of soluble complement receptor 1 on islets.[ScienceDirect: S0142961211002596] |
| Journal of Reproductive Immunology | Elevated complement factor C5a in maternal and umbilical cord plasma in preeclampsia[PubMed: 23415845] |
| Journal of Antimicrobial Chemotherapy | Efficacy of a synthetic antimicrobial peptidomimetic versus vancomycin in a Staphylococcus epidermidis device-related murine peritonitis model[Pubmed: 23645587] |
| SpringerPlus | Therapeutic effects of sesame oil on monosodium urate crystal-induced acute inflammatory response in rats[Pubmed: 24353977] |
| Gynecol Obstet Invest | Complement Split Products C3a/C5a and Receptors: Are They Regulated by Circulating Angiotensin II Type 1 Receptor Autoantibody in Severe Preeclampsia?[PubMed: 26485247] |
| Am J Reprod Immunol | Human IgG Antinuclear Antibodies Induce Pregnancy Loss in Mice by Increasing Immune Complex Deposition in Placental Tissue: In Vivo Study[PubMed: 26388133] |
| Journal of Neuroimmunology | Acute and prolonged complement activation in the central nervous system during herpes simplex encephalitis[Pubmed:27235358] |
| Plos One | Alternative Pathway Inhibition by Exogenous Factor H Fails to Attenuate Inflammation and Vascular Leakage in Experimental Pneumococcal Sepsis in Mice[Pubmed:26872035] |
| Digital Repository | Dosagem de frações ativadas do sistema complemento em empiema induzido em ratos[10183] |
| Colloids Surf B Biointerfaces. | Interaction of gold and silver nanoparticles with human plasma: Analysis of protein corona reveals specific binding patterns.[pubmed:28131092] |
| Pediatric Pulmonology | Accuracy of complement activation product levels to detect infected pleural effusion in rats[pubmed:28474458] |
| Journal of Immunology | The Complement C3a–C3aR Axis Promotes Development of Thoracic Aortic Dissection via Regulation of MMP2 Expression[Pubmed:29367209] |
| Artificial Cells Nanomedicine and Biotechnology Journal | Long term safety and immunological effects of a nanobiotherapeutic, bovine poly-[hemoglobin-catalase-superoxide dismutase-carbonic anhydrase], after four weekly …[Pubmed:29873524] |
| Cytotherapy | Mesenchymal stromal cell secretory factors induce sustained improvements in islet function pre-and post-transplantation[Doi: 10.1016/j.jcyt.2018.07.007] |
| Journal of NeuroVirology | Intrathecal complement activation by the classical pathway in tick-borne encephalitis[Pubmed: 30850976] |
| Clinical Immunology | Pathogenic roles of anti-C1q antibodies in recurrent pregnancy loss[] |
| Materials Science and Engineering: C | Hemocompatibility of biodegradable Zn-0.8 wt%(Cu, Mn, Li) alloys[] |
| Nanomedicine | Complement-mediated hypersensitivity reactions to an amphotericin B-containing lipid complex (Abelcet) in pediatric patients and anesthetized rats: Benefits of slow infusion[33549818] |
| EXPERIMENTAL EYE RESEARCH | Increased ratios of complement factors C3a to C3 in aqueous humor and serum mark glaucoma progression[33493474] |
| FASEB J | C‐reactive protein inhibits C3a/C3aR‐dependent podocyte autophagy in favor of diabetic kidney disease[Pubmed:35503088] |







